
Heel spurs are bony growths that develop on the underside of the heel bone, often forming in response to long-term strain on foot muscles and ligaments. They can be caused by weakened muscles that fail to properly support the foot, joint stiffness that alters walking patterns, and repeated forced impact from walking or standing on hard floors. These factors place extra stress on the heel, leading to inflammation and pain. A podiatrist can diagnose heel spurs through examination and imaging, then recommend treatments like custom orthotics, stretching exercises, and supportive footwear. If heel pain is affecting your daily life, it is suggested that you consult a podiatrist who can accurately diagnose and treat heel spurs.
Heel spurs can be incredibly painful and sometimes may make you unable to participate in physical activities. To get medical care for your heel spurs, contact one of our podiatrists from Riznyk Podiatry. Our doctors will do everything possible to treat your condition.
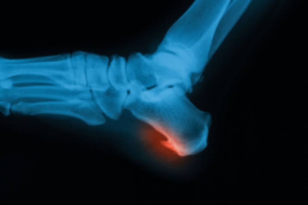
Heels Spurs
Heel spurs are formed by calcium deposits on the back of the foot where the heel is. This can also be caused by small fragments of bone breaking off one section of the foot, attaching onto the back of the foot. Heel spurs can also be bone growth on the back of the foot and may grow in the direction of the arch of the foot.
Older individuals usually suffer from heel spurs and pain sometimes intensifies with age. One of the main condition's spurs are related to is plantar fasciitis.
Pain
The pain associated with spurs is often because of weight placed on the feet. When someone is walking, their entire weight is concentrated on the feet. Bone spurs then have the tendency to affect other bones and tissues around the foot. As the pain continues, the feet will become tender and sensitive over time.
Treatments
There are many ways to treat heel spurs. If one is suffering from heel spurs in conjunction with pain, there are several methods for healing. Medication, surgery, and herbal care are some options.
If you have any questions, please feel free to contact our office located in Orchard Park, NY . We offer the newest diagnostic and treatment technologies for all your foot care needs.

Pain in the top of your foot after running is often caused by inflammation of the tendons that are responsible for lifting and straightening your toes. This condition is known as extensor tendonitis. When these extensor tendons become inflamed, they can cause pain, particularly during activities like running. Factors that contribute to top of the foot pain include overuse, tight calf muscles, or having flat feet, which can place additional strain on the tendons. Wearing shoes that are too tight or poorly fitted may also increase the risk. Pain from extensor tendonitis is typically felt along the top of the foot, often near the shoelaces, and can be accompanied by swelling and a bump on the tendon. If you experience top of the foot pain after running, it is suggested that you schedule an appointment with a podiatrist for a diagnosis and appropriate treatment.
Foot Pain
Foot pain can be extremely painful and debilitating. If you have a foot pain, consult with one of our podiatrists from Riznyk Podiatry. Our doctors will assess your condition and provide you with quality foot and ankle treatment.
Causes
Foot pain is a very broad condition that could be caused by one or more ailments. The most common include:
Diagnosis
To figure out the cause of foot pain, podiatrists utilize several different methods. This can range from simple visual inspections and sensation tests to X-rays and MRI scans. Prior medical history, family medical history, and any recent physical traumatic events will all be taken into consideration for a proper diagnosis.
Treatment
Treatment depends upon the cause of the foot pain. Whether it is resting, staying off the foot, or having surgery; podiatrists have a number of treatment options available for foot pain.
If you have any questions, please feel free to contact our office located in Orchard Park, NY . We offer the newest diagnostic and treatment technologies for all your foot care needs.

As people age, nerve health can decline, increasing the risk of neuropathy in the feet. This condition occurs when nerves are damaged, leading to sensations such as numbness, tingling, burning, or pain. In older adults, causes can include diabetes, poor circulation, certain medications, or underlying medical conditions. Neuropathy can make it harder to feel injuries, temperature changes, or pressure, raising the risk of unnoticed wounds or infections. Maintaining healthy blood sugar levels, staying active, and wearing well-fitting shoes can help protect nerve function. Regular foot checks are important to catch problems early. Moisturizing the skin, avoiding walking barefoot, and seeking prompt care for cuts or sores can prevent complications. If you experience changes in sensation, ongoing discomfort, or difficulty walking, it is suggested that you see a podiatrist for a diagnosis and appropriate treatment.
Neuropathy
Neuropathy can be a potentially serious condition, especially if it is left undiagnosed. If you have any concerns that you may be experiencing nerve loss in your feet, consult with one of our podiatrists from Riznyk Podiatry. Our doctors will assess your condition and provide you with quality foot and ankle treatment for neuropathy.
What Is Neuropathy?
Neuropathy is a condition that leads to damage to the nerves in the body. Peripheral neuropathy, or neuropathy that affects your peripheral nervous system, usually occurs in the feet. Neuropathy can be triggered by a number of different causes. Such causes include diabetes, infections, cancers, disorders, and toxic substances.
Symptoms of Neuropathy Include:
Those with diabetes are at serious risk due to being unable to feel an ulcer on their feet. Diabetics usually also suffer from poor blood circulation. This can lead to the wound not healing, infections occurring, and the limb may have to be amputated.
Treatment
To treat neuropathy in the foot, podiatrists will first diagnose the cause of the neuropathy. Figuring out the underlying cause of the neuropathy will allow the podiatrist to prescribe the best treatment, whether it be caused by diabetes, toxic substance exposure, infection, etc. If the nerve has not died, then it’s possible that sensation may be able to return to the foot.
Pain medication may be issued for pain. Electrical nerve stimulation can be used to stimulate nerves. If the neuropathy is caused from pressure on the nerves, then surgery may be necessary.
If you have any questions, please feel free to contact our office located in Orchard Park, NY . We offer the newest diagnostic and treatment technologies for all your foot care needs.

Pregnancy often leads to various changes in the body, and the feet are no exception. As weight increases, so does foot load, which may alter your gait and lead to discomfort or imbalance. Hormonal shifts and water retention can cause swelling, arch collapse, and pain in the heels, arches, or balls of the feet. Conditions like plantar fasciitis, flat feet, and overpronatio, are common during this time. A podiatrist can evaluate these symptoms, provide custom orthotics, recommend safe exercises, and offer relief strategies to improve comfort and mobility. If you are experiencing foot pain during pregnancy, it is suggested that you schedule an appointment with a podiatrist who can provide effective relief and treatment solutions.
Pregnant women with swollen feet can be treated with a variety of different methods that are readily available. For more information about other cures for swollen feet during pregnancy, consult with one of our podiatrists from Riznyk Podiatry. Our doctors will attend to all of your foot and ankle needs.
What Foot Problems Can Arise During Pregnancy?
One problem that can occur is overpronation, which occurs when the arch of the foot flattens and tends to roll inward. This can cause pain and discomfort in your heels while you’re walking or even just standing up, trying to support your baby.
Another problem is edema, or swelling in the extremities. This often affects the feet during pregnancy but tends to occur in the later stages.
How Can I Keep My Feet Healthy During Pregnancy?
If you have any questions, please feel free to contact our office located in Orchard Park, NY . We offer the newest diagnostic and treatment technologies for all your foot care needs.